l’ 80%
il 20%
1.000
96%
+20
Sotto la guida del Dr. Matteo Vedovati ci siamo dotati in questi anni di tutti gli strumenti, le tecnologie e i metodi per rendere l’esperienza dal dentista la più rilassante e godibile possibile. Forti dei nostri oltre 18 anni di attività implantologica con più di 1.000 impianti posizionati, possiamo offrire ai nostri pazienti alcune delle più complesse e precise soluzioni in ambito implantologico.
Perché continui
a rimandare l’intervento?
La procrastinazione: quell’irresistibile e fastidiosa tentazione di rimandare a più tardi, a domani, o qualcosa che crea tensione e pressione, come ad esempio un intervento.
Temporeggiare, differire, posticipare, ritardare, rinviare o addirittura non fare quello che si dovrebbe.
Questi stati emotivi sono particolarmente presenti quando si tratta di salute: questo argomento, infatti, mette a dura prova ognuno di noi perché ci mette a nudo e ci rende vulnerabili; sapere che qualcosa nel nostro corpo non funziona bene suscita davvero molte emozioni contrastanti.
Presso lo Studio Vedovati potrai affrontare l’intervento in totale serenità eliminando ogni sensazione di disagio, paura o tensione, ma mantenendoti comunque sempre vigile.
1 italiano su 5
ha paura
del dentista
Combattiamo la paura con tecnologia e informazione!
Nel nostro studio mettiamo a disposizione la sedazione cosciente, una particolare forma di anestesia che, nei pazienti, infonde calma e serenità, eliminando ogni sensazione di disagio, paura o tensione, ma mantenendolo comunque sempre vigile.
In definitiva, non ti devi preoccupare!
Se anche tu stai rimandando le tue cure per paura dell’intervento sappi che nel nostro studio possiamo aiutarti a riavere il tuo sorriso con metodologie indolore.
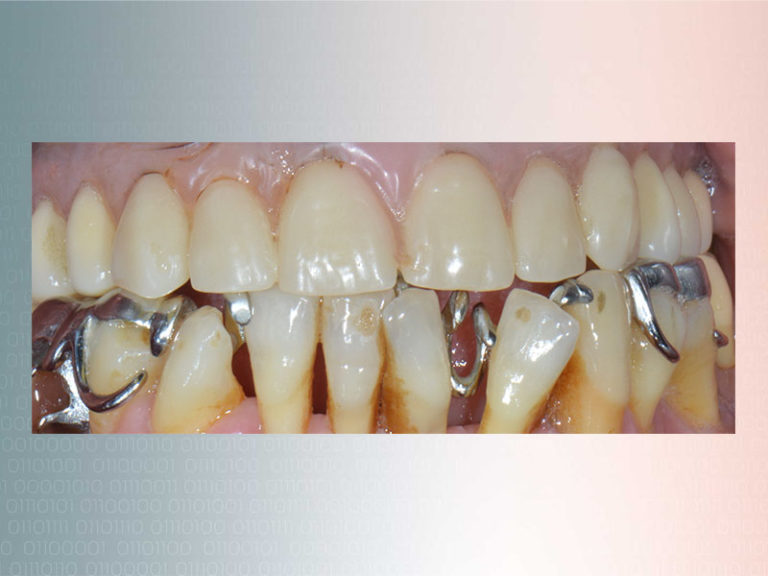
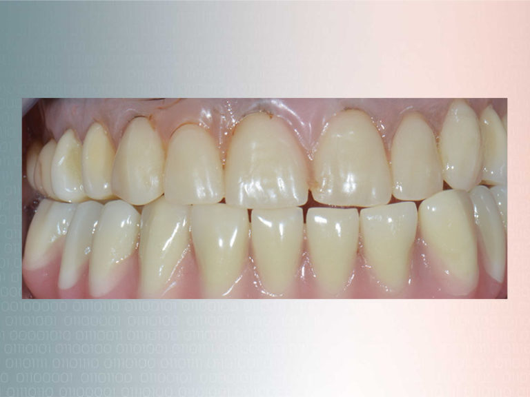
Che cos’è un
impianto dentale?
Scegli l’implantologia
a carico immediato
INTERVENTO SICURO E MINI INVASIVO
Nel nostro Studio ci avvaliamo della Chirurgia Computer Guidata, che consente al chirurgo di pianificare ogni fase dell’intervento attraverso il computer.
Ascolta il Dr. Matteo Vedovati.
I VANTAGGI
PENSI CHE…
Finanziamenti agevolati
Finanziamenti a tasso zero
Pagodil
Accettiamo solo 10 consulenze al mese!
PERCHÉ SCEGLIERCI
Il paziente anziano spesso presenta un quadro clinico con diverse patologie e bisogni più funzionali che estetici, che richiedono un approccio specifico e “individuale”.
È fondamentale un trattamento con meno sedute, invasività e stress. L’affiancamento di un medico anestesista al nostro odontoiatra permette di effettuare la terapia in tranquillità e sicurezza.
QUALCHE DUBBIO?
Vuoi conoscere il prezzo?
Richiedi un appuntamento
Le migliori tecnologie al servizio dei nostri pazienti
La TAC Cone Beam è una tecnica di indagine radiologica all’avanguardia che ci permette di analizzare in profondità il cavo orale e di effettuare diagnosi precise.
Il laser a diodi è un dispositivo che ci permette di trattare diverse problematiche odontoiatriche in modo preciso, efficace e, soprattutto, più confortevole per il paziente.
Questa metodica innovativa permette di intervenire con la riabilitazione implantare anche in caso di scarso residuo osseo.
Il chirurgo pianificherà in anticipo l’intervento e procederà poi a mano libera, guidato da sensori ottici.
Sedazione cosciente
Come raggiungerci?
Orari:
Lun – Ven: 09:00 – 12:00 | 14:00 – 19:00
Sab: Sabato su appuntamento
Dom: Chiuso
Dr. Vedovati Matteo, ordine dei medici di Bergamo n799, Aut. San: I-4572019